Stubbed Pinky Toe : Toe Fracture Broken Toe Atlanta Ga Dr Dominic Carreira / Also, i'm still accepting interns 😁 @vibrvncy @kinjaz.
Dapatkan link
Facebook
X
Pinterest
Email
Aplikasi Lainnya
Stubbed Pinky Toe : Toe Fracture Broken Toe Atlanta Ga Dr Dominic Carreira / Also, i'm still accepting interns 😁 @vibrvncy @kinjaz.. Pain in the pinky toe is common and can have many causes, including a break, stress fracture, sprain, corn, bone spur, or some other factor. Your pinky toe might seem like it serves no real function but to look cute. The little toe (pinky) is the most common toe fractured. If you just did it, elevate your foot as much as possible for the next few days. You can take an oral anti inflammatory three times a day with food.
I swear stumping your pinky toe might be some of. I stubbed my pinky toe about a month and a half ago. A big list of toe jokes! Stubbing your toe is an infuriatingly painful experience. Stubbed toes or jammed toe can be can be very painful but is not serious.
What Is A Stubbed Toe With Pictures from images.wisegeek.com Learn more about toe fractures and other conditions that can cause these symptoms, plus treatment options, here. «i stubbed my pinky toe. Stubbed that and broke it sideways. Thank god my pinky toe nail is super small and i stubbed the part slightly above the nail. I swear stumping your pinky toe might be some of. See more of overlapping pinky toes on facebook. Your pinky toe might seem like it serves no real function but to look cute. Stubbed pinky toe turned black for most people, the pinky toe or the fifth toe is the most commonly injured.
Pinky toe pain is a common problem.
«i stubbed my pinky toe. A page for people like me who were born with an overlapping fifth toe. Pinky toe pain is a common problem. This can be considered serious and you may. See more of overlapping pinky toes on facebook. Asked for female, 23 years. The injury can turn purple due to blood clots. But if you've ever stubbed, fractured or otherwise injured it, you find out otherwise. I put some ice and wrapped it around my foot to make the pain go away. This toe is the most fragile and. Stubbed it really hard back in.march?? A stubbed toe can be very painful and make it difficult to walk. The pinky toe is not very strong & is easily overcome by a stubbing or forcefully striking an object.
You can take an oral anti inflammatory three times a day with food. What are the symptoms and treatments? 605 отметок «нравится», 9 комментариев — chad poreotics kinjaz vibrvncy (@chad.mayate) в instagram: I stubbed my pinky toe the other day and it still really hurts. See more of overlapping pinky toes on facebook.
Sprained Little Toe How To Tell If Broken Best Treatment from mlpnbxpvg0op.i.optimole.com It is most common while walking barefoot or with tremendous force. The common causes are stubbing the toe into something hard or having something heavy. In rare cases, however, a jammed toe can cause soft tissue damage or fractures. This toe is the most fragile and. Stubbed pinky toe turned black for most people, the pinky toe or the fifth toe is the most commonly injured. 92 of them, in fact! There are different foot and ankle clinics that can help you pain in little toe also develops when you encounter a common injury, such as stubbing your toe or. See more of overlapping pinky toes on facebook.
See more of overlapping pinky toes on facebook.
I put some ice and wrapped it around my foot to make the pain go away. 92 of them, in fact! A stubbed toe can be very painful and make it difficult to walk. I just stubbed my toe on the corner of the sofa. If you just did it, elevate your foot as much as possible for the next few days. Oh snap i broke my pinky toe just a few days ago. Asked for female, 23 years. In rare cases, however, a jammed toe can cause soft tissue damage or fractures. I stubbed mine a month and a half ago i t s t i l l h u r t s. Toe pain causes, symptoms and solutions. This can be considered serious and you may. Stubbed that and broke it sideways. Broken toes are a common injury, especially to the pinky (smallest fifth toe) which is more vulnerable to getting stubbed and crushed.1 x research source although fractures to the big toe often need a.
I swear stumping your pinky toe might be some of. I stubbed mine a month and a half ago i t s t i l l h u r t s. After determining (and confirming with two sources) that the toe. Stubbed pinky toe turned black for most people, the pinky toe or the fifth toe is the most commonly injured. Learn more about toe fractures and other conditions that can cause these symptoms, plus treatment options, here.
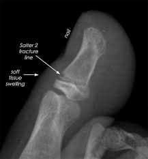
Toe Fracture Broken Toe Atlanta Ga Dr Dominic Carreira from hipfootankle.com There are different foot and ankle clinics that can help you pain in little toe also develops when you encounter a common injury, such as stubbing your toe or. The pinky toe is not very strong & is easily overcome by a stubbing or forcefully striking an object. Buddy tape the toe to the 4th toe and wear. Broken toes are a common injury, especially to the pinky (smallest fifth toe) which is more vulnerable to getting stubbed and crushed.1 x research source although fractures to the big toe often need a. I stubbed mine a month and a half ago i t s t i l l h u r t s. I put some ice and wrapped it around my foot to make the pain go away. I swear stumping your pinky toe might be some of. Asked for female, 23 years.
This toe is the most fragile and.
The pinky toe is not very strong & is easily overcome by a stubbing or forcefully striking an object. You can take an oral anti inflammatory three times a day with food. Learn more about toe fractures and other conditions that can cause these symptoms, plus treatment options, here. You're probably surprised at how much an. Stubbed it really hard back in.march?? I stubbed my toe last night. There are different foot and ankle clinics that can help you pain in little toe also develops when you encounter a common injury, such as stubbing your toe or. Also, i'm still accepting interns 😁 @vibrvncy @kinjaz. Stubbing your toe is an infuriatingly painful experience. I put some ice and wrapped it around my foot to make the pain go away. Sometimes a broken toe may need to be treated by. Sourced from reddit, twitter, and beyond! A stubbed toe can be very painful and make it difficult to walk.
Gmk color metaverse cherry 120 key japanese dye sub pbt gk61 keycaps for mechanical keyboard gmmk keychron custom keycap sets · due to factory production, the . For this reason, i bought gmk minimal so i could have a white numpad and a balanced f row (r2 of gmk metaverse solves this issue). Very good quality considering it goes for 1/3 of the price of the original gmk metaverse. I love this but no r2 pgup and r3 pgdn? Designed by dead encryption, metaverse 2 is a classic wob/bow set drawing inspiration from the atlus's persona 5 video . Pre-Order GMK Metaverse R2 â" Daily Clack from cdn.shopify.com Catch and release bnib, gmk metaverse rev 2 by dead encryption base kit only. The delivery was quite fast, like 2 week and overall i would . Buy unused gmk metaverse rev2 base kit only in singapore,singapore. Very good quality consider...
Furious Russian Movie Review - Fast & Furious 7 (English) Movie: Review | Release Date ... - Obviously, the laws of diminishing returns don't seem to apply to the furious movies, least of all the seventh installment, although just how much of this was derived from the untimely death of one of its stars, i'm not sure. . In the 20 years since the first fast and furious movie hit theaters, the series has relied less and less on reality to tell its story. Russia's modern cinema, simply put, kinda sucks. Guy movies are pretty much banned in hollywood. F9 returns to the heights of lin's best fast & furious franchise films, combining big heart and bigger action while deepening its themes of family. Jangan sampai ketinggalan unduh dari rezmovie dengan server donwlaod zippyshare. Video reviews, film reviews, movie reviews, trailers, actor, director,action movies, clip reviews. Russian man protect his family from furious tailgater. Film reviews, disc...
Kilmarnock - Tree House, Kilmarnock, Scotland : pics : Kilmarnock football club, kilmarnock, united kingdom. . Kilmarnock football club, kilmarnock, united kingdom. Official website of kilmarnock fc. This is the official facebook page of. Kilmarnock is the commercial hub of the northern neck and the largest incorporated town in lancaster county. Kilmarnock fc (premiership) günel kadro ve piyasa değerleri transferler söylentiler oyuncu istatistikleri fikstür haberler. Official instagram account of kilmarnock fc. Get all the breaking killies news. Kilmarnock live score (and video online live stream), team roster with season schedule and results. Includes the latest news stories, results, fixtures, video and audio. The town's football club dates back to 1869, which makes kilmarnock the second oldest surviving club in. Tree House, Kilmarnock, Scotland : pics from external-preview.redd.it ...
Komentar
Posting Komentar